진료예약
- 영상진단의학과의 CT 및 MRI 촬영 예약은 의뢰병원 의뢰를 통해서만 가능합니다.
- 영상검사와 함께 추가적인 진료를 원하실 경우, 해당 진료과를 통한 예약이 필요합니다.
- 우선, 의뢰 병원에서는 전화로 사전예약 부탁드립니다.
- 전화 가예약 완료 후에는 홈페이지의 검사의뢰서 양식을 작성 후 아래 메일로 전송 부탁드립니다.
- 예약이 확정되면 전화로 다시 안내드립니다.
- 전화) 02-450-3664, e-mail) kuimaging@naver.com
- 의뢰시 필요한 서류
- 환자 기본 정보/차트 (기본정보, 주요증상, 내복약 유무 등)
- 흉부 방사선 사진 2장 (단, 척추질환 의심시 흉부 2장, 복부 2장이 필요합니다.)
- 마이크로칩 유무 (MRI 촬영에 지장이 있다고 판단되는 경우, 의뢰병원에서 제거 후 내원해야 합니다.)
- 7일 이내의 혈액검사 (혈구검사, 혈청검사, 전해질 검사) 결과
접수
- 예약시간에 맞춰 환자와 함께 방문해주시면 원무행정실에서 접수를 도와드리겠습니다.
- 영상촬영의 경우 환자의 마취가 필요하므로 내원 전 8시간 금식, 3시간 금수가 필요합니다.
진료 및 결과
- 배정된 주치의와 상담 후 영상 검사를 진행하게 됩니다.
- 검사 결과는 지역병원으로 3-5일 이내 전달되며 지역병원에서 상담을 진행하실 수 있습니다.
-
지역 병원 선택 및 진료
-
지역 병원에서 본원으로 전화사전예약
-
예약확정 안내 전화
-
예약 당일 환자 내원
-
검사 후 퇴원
-
소견서 발송 및 지역 병원에서 결과 상담
- 업무시간 : 월 ~ 금 - 오전 9시 ~ 오후 5시 (주말의 경우 예약이 불가하며, 평일 오후 5시 이후 전화는 가예약 후 익일 오전에 다시 연락 드리겠습니다.)
- 연락처
- Tel : 02-450-3664
- E-mail : kuimaging@naver.com
장비소개
건국대학교 영상진단의학과 장비 소개
-
Canon Aquilion Lightning 160 slice CT -
GE Signa HDxt 1.5T MRI
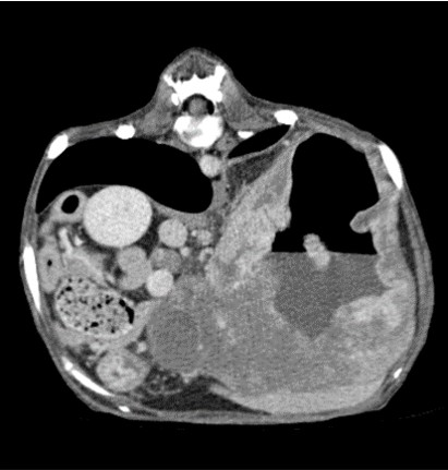
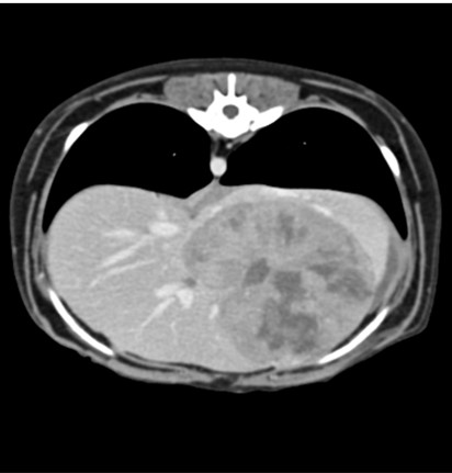
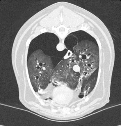
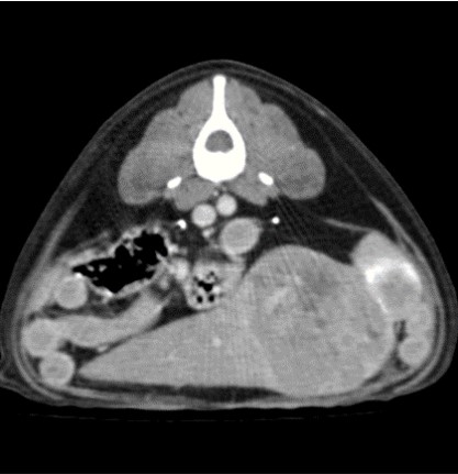
CT 검사
CT는 신체의 여러 각도에서 x-선을 투과시킨 후 단면 영상과 3차원적 입체영상을 얻을 수 있어 해부학적 구조와 병적 변화 정도를 정확하고 빠르게 평가할 수 있습니다.
CT 검사는 각종 종양과 염증, 외상 및 신체 기형과 같은 질환의 진단에 유용하게 사용될 수 있으며 수술이 지시되는 경우에도 진단을 넘어 정확한 해부학적 구조의 평가가 가능해져 이를 통해 수술 계획을 수립할 수 있습니다.
건국대학교 동물암센터에서 보유하고 있는 CT는 여러 개의 디텍터를 갖고 있는 multi-detector CT (MDCT)로써 촬영 시간 및 피폭량을 최소화 할 수 있는 장점이 있습니다. 여러 개의 디텍터를 통해 선명한 영상을 빠르게 구현해 냄으로써 진단의 정확성을 높일 수 있습니다.
CT 검사는 각종 종양과 염증, 외상 및 신체 기형과 같은 질환의 진단에 유용하게 사용될 수 있으며 수술이 지시되는 경우에도 진단을 넘어 정확한 해부학적 구조의 평가가 가능해져 이를 통해 수술 계획을 수립할 수 있습니다.
건국대학교 동물암센터에서 보유하고 있는 CT는 여러 개의 디텍터를 갖고 있는 multi-detector CT (MDCT)로써 촬영 시간 및 피폭량을 최소화 할 수 있는 장점이 있습니다. 여러 개의 디텍터를 통해 선명한 영상을 빠르게 구현해 냄으로써 진단의 정확성을 높일 수 있습니다.
대표질환
- 종양 진단 (두경부, 흉강, 복강, 사지 골격) 및 전이 평가
- 골격계 질환 및 골절 합병증 평가
- 혈관 기형 (PDA, PSS, vascular ring anomaly 등)
- 척추 질환 (척추 골절, hemivertebra)
- 폐 질환
-
간 종양 -
비장종양 -
두경부 종양 -
척추질환
-
위 종양 -
견갑골 종양 -
기흉 -
전신문맥단락(PSS)
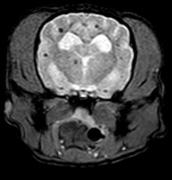
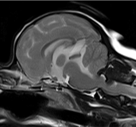
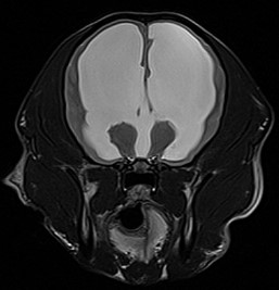
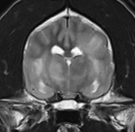
MRI 검사
자기공명영상촬영 (MRI, Magnetic Resonance Imaging) 자기에너지를 이용하여 영상을 획득하기 때문에 방사선의 발생 없이 사람과 동물 모두에게 보다 안전한 영상 기법입니다.
MRI의 경우 특히 뇌와 척수의 신경계와 같은 연부조직의 영상화에 특화되어 있어 다른 영상 기법보다 뛰어난 해상도를 나타냅니다.
건국대학교 영상진단의학과에서는 1.5 Tesla의 최신 자기공명영상촬영장치를 통해 높은 수준의 해상도를 제공하고 추가적으로 환자에게 맞는 다양한 검사 sequence가 가능하여 보다 정밀한 진단을 위해 노력하고 있습니다.
MRI의 경우 특히 뇌와 척수의 신경계와 같은 연부조직의 영상화에 특화되어 있어 다른 영상 기법보다 뛰어난 해상도를 나타냅니다.
건국대학교 영상진단의학과에서는 1.5 Tesla의 최신 자기공명영상촬영장치를 통해 높은 수준의 해상도를 제공하고 추가적으로 환자에게 맞는 다양한 검사 sequence가 가능하여 보다 정밀한 진단을 위해 노력하고 있습니다.
대표질환
- 뇌수두증
- 뇌종양
- 뇌수막염
- 두경접합부 질환
- 디스크 질환
- 척수 질환
- 척추 골절
- 근골격계 질환
-
뇌수두중 -
후두골이형성,키아리 기형 -
척수공동증 -
AAI
-
디스크질환 -
뇌출혈 -
미세출혈 -
뇌수막염
