영상의학과
영상의학과는 각종 최첨단 장비를 이용하여 빠르고 정확하게 질환을 진단하고 치료 방침을 결정하는데 중요한 역할을 담당하고 있습니다. 환자의 진단과, 예후 평가, 치료 방향을 결정하기 위해 다음과 같은 검사를 제공하고 있습니다.
각종 검사를 통한 영상자료는 의료영상저장전달시스템(PACS)를 기반으로 처리, 보관 및 전송되고 있습니다.
-
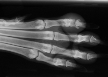
일반 X-Ray 촬영검사
-
흉부, 복부, 두부, 근골격계, 척추 촬영을 통해 환자 전반에 걸친 기본적인 정보를 획득할 수 있는 손쉬운 진단방법입니다. 본원 영상의학과의 X-선 검사장비는 디지털 검사장비를 도입하여 영상의 구현과 검사시간을 단축하였으며, 촬영시간은 물론 촬영 대기시간, 촬영에서 진단까지의 시간이 단축되어 환자 서비스 향상을 이룰 수 있습니다. 만일 촬영 후에 사진이 만족스럽지 않은 경우라 하더라도 촬영 후에 농도조정이 가능하기 때문에 불필요한 재촬영을 대폭 줄일 수 있습니다.
-
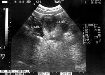
초음파(Ultrasonography)검사
-
신체에 무해한 초음파를 몸에 투사하여 간, 담낭, 비장, 췌장, 혈관계, 비뇨생식기계, 위장관을 포함한 질병의 유무, 병소의 크기와 양상을 진단하는데 필수적인 검사방법입니다. 일반적인 복강 내 장기 외에도 초음파를 통해 뇌실, 안구, 근골격계 및 관절 인대에 대한 평가를 시행하고 있습니다.
-
조영촬영 검사(Contrast study) - 위장관 & 비뇨기 조영
-
식도, 위장관, 비뇨기계, 외이도에 조영제를 투여하여 검사하는 방법입니다. 일반 X-ray 촬영과 더불어 보다 정확한 진단을 위해 식도, 위장관, 비뇨기계, 외이도에 조영제를 투여하여 개통성과 이물의 여부를 확인하고 있습니다. 조영 검사를 통해 위장관 이물, 폐색, 중첩, 방광파열, 결석에 의한 폐색, 외이염, 고막파열 등을 진단할 수 있습니다.
-
투시(Fluoroscopy) 검사
-
기관, 식도, 위장, 신장검사를 통해 실시간 영상 획득과 입체적인 구조를 파악할 수 있는 진단방법입니다. 투시 검사는 연속적인 X-선 방사를 통하여 실시간으로 영상을 획득하는 검사를 말합니다. 실시간 영상을 통해 소형견에서 다발하는 기관 협착증(Tracheal collapse)을 손쉽게 확인할 수 있으며 인후두부질병을 감별할 수 있습니다. 또한 조영촬영시 투시검사를 병행하여 식도나 위장관의 이물 형태와 위치를 입체적으로 파악할 수 있습니다.
-
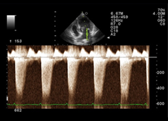
심장초음파(Echocardioagraphy) 검사
-
심장초음파를 통해 심장과 대혈관의 질환을 진단할 수 있는 검사법입니다. 심장초음파 검사는 심장 검사용 탐촉자를 이용하여 기본 영상과 도플러 검사를 통해 심장과 혈류의 움직임을 실시간으로 평가하고, 심근의 기능을 평가할 수 있는 검사입니다. 이를 통해 이첨판 폐쇄부전, 삼첨판 폐쇄부전, 동맥관 개존증(PDA), 폐고혈압과, 폐동맥 협착증, 대동맥 협착증과 같은 심장과 대혈관 질병을 진단하고 치료 경과의 확인을 위해 주기적인 재검사를 실시하고 있습니다.
-
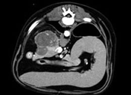
컴퓨터 단층촬영(CT) 검사
-
CT는 방사선 (X-선) 을 이용하여 인체의 미세한 조직을 컴퓨터가 선명한 단층영상 및 3차원 입체영상으로 재구성시켜 병변을 정확하게 진단하는 검사입니다. CT는 인체의 아주 작은 병변도 발견할 수 있는 최첨단 장비입니다.
대부분의 CT 검사에서는 병소의 윤곽이나 형태를 명료하게 나타나게 하기 위해서 정맥에 조영제를 사용하여 정확한 진단을 하게 합니다. 고성능의 컴퓨터를 이용한 3차원 입체영상으로 재구성하여 질환을 분석하여 검사의 정확한 정보를 제공하여 병변의 조기진단에 도움을 주며, 단 한번의 검사로 많은 정보를 얻을 수 있을 뿐만 아니라 여러 병변을 볼 수 있어 중복 검사의 시간 및 고통을 줄일 수 있습니다.
-
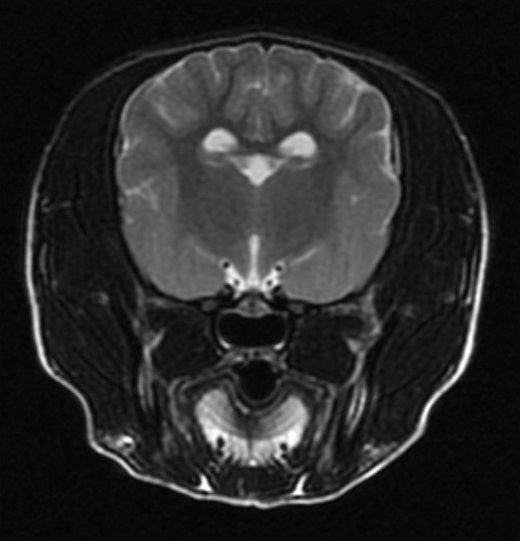
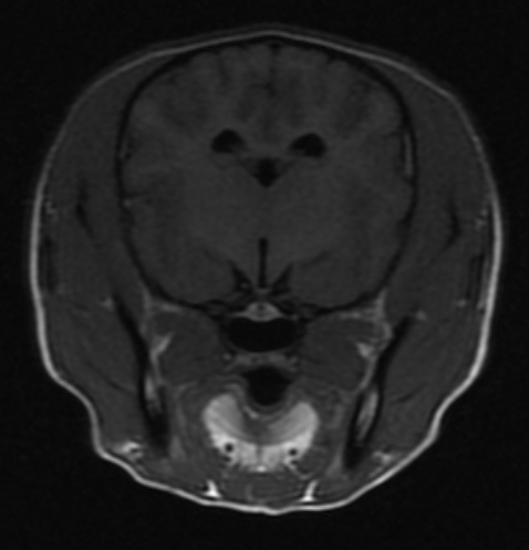
자기공명영상(MRI) 검사
-
MRI는 자기장 내에서 신체에 고주파를 전사해 반향되는 전자기파를 측정 및 재구성하여 영상을 얻어 질병을 진단하는 검사로, 일반 방사선 검사(x-ray), 전단화 단층 촬영(CT)과 비교하여 방사선 피폭이 없고, 영상 대조도 및 해상도가 연부 조직과 뇌 검사에 뛰어난 장점을 가집니다. MRI는 뇌수두증이나 뇌종양 등 두개내 질환, 디스크탈출, 척수 질환 및 관절염과 인대 파열 등의 관절 질환의 평가에 유용하며 병변의 정확한 진단에 도움을 주고, 이를 통해 이후 빠른 내∙외과적인 치료를 가능하게 합니다.
-
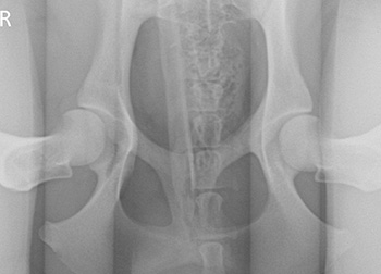
PennHIP 검사
-
PennHIP 검사는 강아지 고관절 이형성(Canine hip dysplasia, CHD)을 조기에 진단할 수 있는 진단 방법입니다. 강아지 고관절 이형성은 주로 대형견의 고관절에서 나타나는 유전적 질환으로 선천적인 고관절의 불안정성으로 인해 추후에 관절염으로 진행되어 통증, 파행 등 다양한 임상증상이 유발할 수 있습니다. PennHIP 검사는 강아지 고관절 이형성을 가진 환자가 관절염으로 진행되지 않았을 확률이 높은 생후 16주령부터 조기에 검진이 가능하고, 따라서 초기에 질환의 관리를 가능하게 합니다. PennHIP은 스포츠, 훈련 등을 필요로 하는 경우, 교배 목적이 있는 경우, 건강검진을 목적으로 하는 경우, 마약탐지견, 구조견 등 사역견의 목적이 있는 경우 등에서 진행될 수 있습니다.
