내과
일반 내과에서는 기력저하, 식욕저하, 구토, 설사 등 대부분의 질환에서 공통적으로 보이는 증상을 갖고 내원하는 환자를 대상으로 진료를 제공하고 있습니다.
주로 소화기, 비뇨기, 내분비 질환을 다루며 생명을 위협하는 중증질환, 치료가 어려운 난치성 질환, 장기적으로 관리가 필요한 만성질환과 같은 질병의 정확한 진단과 치료를 목표로 하고 있습니다.
진단을 위해 기본적으로 각종 정밀 혈액검사와 요검사, 방사선검사, 초음파, 내시경 등을 실시하게 되며 치료는 진단된 질병을 바탕으로 약물 치료를 기본으로 하며 관리가 어려운 신장질환의 경우 혈액 투석을 실시하고 있습니다.
주로 소화기, 비뇨기, 내분비 질환을 다루며 생명을 위협하는 중증질환, 치료가 어려운 난치성 질환, 장기적으로 관리가 필요한 만성질환과 같은 질병의 정확한 진단과 치료를 목표로 하고 있습니다.
진단을 위해 기본적으로 각종 정밀 혈액검사와 요검사, 방사선검사, 초음파, 내시경 등을 실시하게 되며 치료는 진단된 질병을 바탕으로 약물 치료를 기본으로 하며 관리가 어려운 신장질환의 경우 혈액 투석을 실시하고 있습니다.
-
일반내과 주요 질환
-
소화기 질환 비뇨기 질환 내부분비 질환 면역매개성 질환 주요 검사 및 시술 - 염증성 장질환
- 췌장염
- 종양
- 간질환- 신부전
- 방광염- 쿠싱병
- 방광염
- 갑상선질환- 면역매개성 용혈성 빈혈
- 면역매개성 혈소판 감소증- 혈액검사
- 뇨 검사
- 복부 초음파 검사
- 내시경(상부/하부)
- 혈액투석
피부·종양내과
최근 반려동물의 복지와 기대 수명이 늘어남에 따라, 각종 피부병 및 종양환자가 증가하고 있습니다.
본원 피부/종양팀에서는, 증상에 따른 피부 검사 (조직검사, 세포학적 검사, 모근의 현미경학적 검사), 우드램프 (wood-lamp) 검사, 세균 및 곰팡이 검사)를 통한 진단과 그에 따른 적절한 치료를 원칙으로 진료하고 있습니다. 또한, 각종 종양의 진단을 통해,악성 및 양성 판정, 이후의 치료방향 결정, 예후 판정 등도 본원 피부/종양팀의 역할입니다.
특히, 종양으로 진단된 환자와 치료를 함께 하는 보호자에게 삶의 질을 높이고 적절한 항암 치료를 제공하여 환자와 보호자 모두에게 최대의 만족을 주기 위해 최선을 다하고 있습니다.
본원 피부/종양팀에서는, 증상에 따른 피부 검사 (조직검사, 세포학적 검사, 모근의 현미경학적 검사), 우드램프 (wood-lamp) 검사, 세균 및 곰팡이 검사)를 통한 진단과 그에 따른 적절한 치료를 원칙으로 진료하고 있습니다. 또한, 각종 종양의 진단을 통해,악성 및 양성 판정, 이후의 치료방향 결정, 예후 판정 등도 본원 피부/종양팀의 역할입니다.
특히, 종양으로 진단된 환자와 치료를 함께 하는 보호자에게 삶의 질을 높이고 적절한 항암 치료를 제공하여 환자와 보호자 모두에게 최대의 만족을 주기 위해 최선을 다하고 있습니다.
-
피부·종양내과 주요 질환
-
구분 증상 치료 피부 - 아토피
- 면역매개성 질환(천포창, 전신 홍반성 낭창 등)
- 감염성 질환 (피부사상균증, 모낭충증, 벼룩 감염)
- 탈모성 질환 (호르몬, 선청성 질환 등)
- 귀 질환 (외이염, 중이염)- 세포학적 검사
- 우드등 검사
- 모근 현미경학적 검사
- 배양검사
- 감수성 검사
- 조직검사 / 귀 내시경
- 고막절개술
- 귀세척종양 - 피부종양 (비만세포종, T세포 림프종)
- 복강 장기 종양 (난소, 췌장, 간, 부신, 소화기 종양)
- 혈관림프계 종양 (악성림프종) 주요 검사 및 시술- 세침흡인검사
- 조직검사
- X-ray
- 초음파
- CT촬영
- 항암치료 (복합 프로토콜)
심장내과
반려동물의 건강 및 복지가 점차 향상되고 있고, 이에 따라 반려동물의 평균수명이 증가하면서 심장혈관계 질병의 유병률과 이로 인한 사망율 또한 증가하고 있습니다.
이러한 심장혈관성 질병으로는 고혈압, 심부전, 판막질환 등이 있으며 건국대학교 부속 동물병원에서는 이에 대한 정확한 진단과 치료를 노력하고 있습니다. 또한 동물의 경우 종 특이성, 개체 특이성 별선청성 심질환이 의심되는 경우가 종종 있으며 이에 따라 건국대학교 부속 동물병원에서는 조기에 이를 진단하고 관련 시술을 통해 임상증상을 예방하는 역할을 하고 있습니다.
심장 잘환 관련 임상증상으로는 기력저하, 운동불내성, 기침, 객혈 등이 있습니다.
이러한 심장혈관성 질병으로는 고혈압, 심부전, 판막질환 등이 있으며 건국대학교 부속 동물병원에서는 이에 대한 정확한 진단과 치료를 노력하고 있습니다. 또한 동물의 경우 종 특이성, 개체 특이성 별선청성 심질환이 의심되는 경우가 종종 있으며 이에 따라 건국대학교 부속 동물병원에서는 조기에 이를 진단하고 관련 시술을 통해 임상증상을 예방하는 역할을 하고 있습니다.
심장 잘환 관련 임상증상으로는 기력저하, 운동불내성, 기침, 객혈 등이 있습니다.
-
심장내과 주요 질환
-
증상 치료 이첨판 폐쇄 부전증, 삼첨판 폐쇄 부전증, 폐동맥 고혈압,동맥관 개존증, 부정맥, 폐수종 흉부 방사선 검사, 심전도 검사, 심장초음파 검사, 혈관 조영술,동맥관 개존증 폐쇄술, 심장 박동기 장착
호흡기내과
호흡기 내과는 호흡기계를 구성하는 주요장기인 기도, 폐심질, 폐혀로간, 흉막 및 흉벽에 발생하는 질병들을 진단하고 치료하는 진료과입니다.
관련 주요 임상증상으로는 기침, 호흡곤란, 객혈, 무기력 등이 있습니다.
관련 주요 임상증상으로는 기침, 호흡곤란, 객혈, 무기력 등이 있습니다.
-
호흡기내과 주요 질환
-
증상 치료 폐렴, 기관/기관지염, 기관협착, 기관지 협착, 고양이 천식 흉부 방사선 검사, 투시 검사, 관련 샘플 및 배양검사, 호흡기 종양 세포 흡인 검사
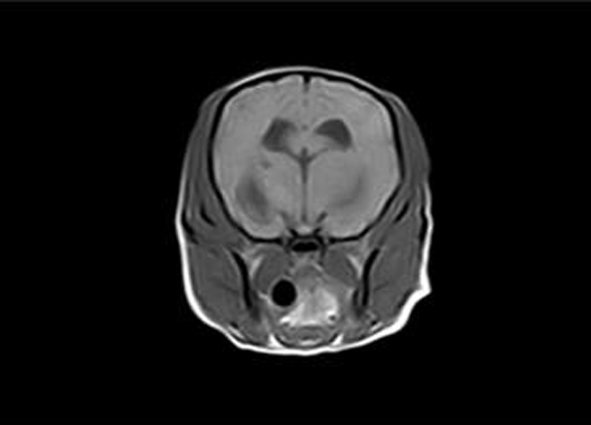
신경내과
신경내과는 동물의 중추신경(뇌,척수)과 말초신경과 관계되는 질환을 진단하고 치료하는 분야입니다. 신경계 질환은 발작, 마비, 운동장애, 치매와 같은 증상을 보일 수 있습니다.
최근 노령 반려동물의 증가로 각종 퇴행성 질환, 신경계 종양으로 인한 신경환자가 많아지고 있습니다. 이에 대한 진단과 치료에 대한 연구가 꾸준히 진행되고 있습니다. 건국대학교 부속 동물병원은 전문적인 진단과 치료를 하고자 최선을 다하고 있습니다.
최근 노령 반려동물의 증가로 각종 퇴행성 질환, 신경계 종양으로 인한 신경환자가 많아지고 있습니다. 이에 대한 진단과 치료에 대한 연구가 꾸준히 진행되고 있습니다. 건국대학교 부속 동물병원은 전문적인 진단과 치료를 하고자 최선을 다하고 있습니다.
-
신경내과 주요 질환
-
증상 치료 뇌수두증, 육아종성 뇌수막염, 괴사성 뇌수막염, 뇌종양, 중증근무력증, 말초신경병증 등 신경검사, 뇌척수액검사, 뇌파검사, 근전도검사 등
